13 August 2012

Princess the leopard toad: A survivor with a big message

Liani Kruger/The Scenic South

We love a good conservation story! In July 2012, Liani Kruger wrote to The Scenic South, relaying a touching story about an injured (endangered) Western leopard toad, Princess.

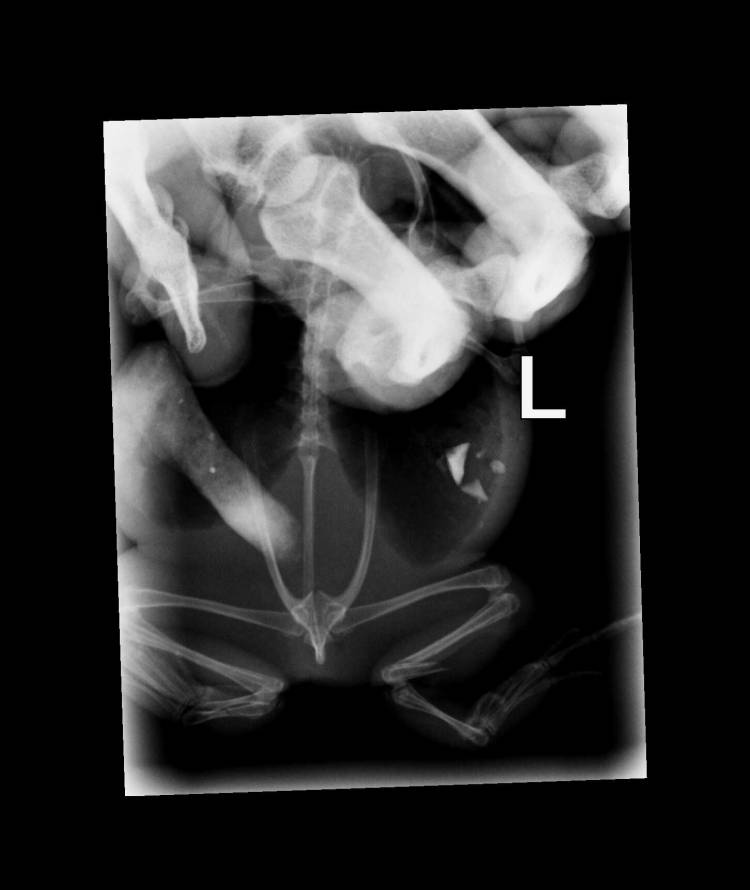
See the X-rays of the toad and read the incredible story of one person going above and beyond to do the right thing.

Here’s an excerpt of the article:

Princess a Leopard Toad literally leaped into my life early one morning on my way to work. 

Seeing the car before me swerve I stopped and shone my headlights to find out what its driver had tried to miss… and I saw Princess trying to hop away from other on-coming cars.

She had a broken leg and dislocated wrist and the vet was not hopeful.

The story of Princess the Leopard Toad is one of surviving the challenges facing Western leopard toads and of the people who care.

Click here to read the rest of the article on The Scenic South.

Stay in touch: For daily Aquarium updates, follow us on Twitter (@2OceansAquarium) and become a fan on Facebook.

blog comments powered by Disqus
E_NOTICE Error in file config.master.php at line 272: Undefined index: MAIL_PORT